Снижение качества визуализации при отсутствии системных ошибок — одна из наиболее сложных диагностических задач в сервисе ультразвукового оборудования. В таких случаях стандартные тесты не выявляют проблему, и требуется анализ на уровне электронных компонентов.
Исходное состояние и жалоба
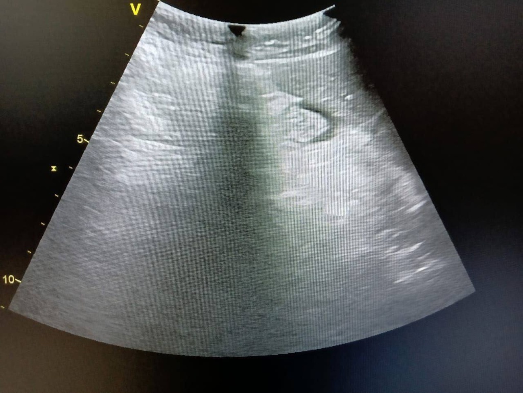
Оборудование: Vivid T8
Жалоба клиента:
- Ухудшение качества изображения
- Проблема проявляется при работе с конвексным датчиком
- Аппарат проходит самотестирование без ошибок
Наблюдаемая картина:
- На изображении присутствуют выраженные «провалы» сигнала
- Неравномерность усиления по глубине сканирования
- Снижение диагностической ценности изображения

Диагностика и выявленные причины
В рамках углублённой диагностики выполнены:
- Проверка датчика на исправном аппарате
- Анализ сигнального тракта
- Диагностика платы обработки сигнала
- Локализация дефекта на уровне компонентов
Установлено:
- Дефект пайки чипа AFE (Analog Front-End)
- Нарушение контакта BGA-микросхемы с платой
- Частичная потеря сигнала на этапе первичной обработки
Причина:
- Со временем бессвинцовые припои подвержены микротрещинам
- Возникает деградация контактных соединений
- При этом система продолжает проходить самотестирование, так как отказ неполный

Выполненные работы
Для устранения неисправности выполнены:
- Демонтаж платы и подготовка зоны ремонта
- Перепайка чипа AFE с контролем температурного профиля
- Восстановление контактных площадок
- Повторная установка и проверка соединений
- Сборка аппарата и тестирование сигнального тракта
Результаты
После выполнения работ:
- Изображение восстановлено до штатного уровня
- Устранены «провалы» сигнала
- Повышена равномерность и глубина визуализации
- Аппарат работает стабильно во всех режимах
- Повторное тестирование не выявило отклонений

Заключение
Ремонт Vivid T8 завершён успешно. Неисправность, связанная с деградацией пайки чипа AFE, устранена без замены платы. Аппарат полностью восстановлен и готов к эксплуатации.
Отдельно следует отметить, что был выполнен компонентный ремонт, а не замена модуля целиком. Это позволило:
- Существенно сократить стоимость восстановления
- Минимизировать сроки ремонта
- Сохранить ресурс оригинальных компонентов
Сервисная служба Medford применяет компонентный подход при ремонте, когда это технически обосновано и экономически целесообразно.